- Главная
- Наши специалисты
- Набиев Руслан Галиуллович
Набиев Руслан Галиуллович

Врач-стоматолог-терапевт, пародонтолог, микроскопист
Специалист в области диагностики и лечения заболеваний десен, кариеса, пульпита и его осложнений Специализируется на проведении лечения под микроскопом. Владеет всеми современными методами терапевтического и пародонтологического лечения, методиками эстетико-функциональной реставрации, проводит процедуры профессиональной гигиены, фторирования и реминерализации полости рта у подростков и взрослых.
Стаж: 3 года
5 рейтинг на ProDoctorov
3-е место среди стоматологов-гигиенистов по версии Продокторов в 2023 г.
Работает в филиалах:
ул. Конева, 22/2
Образование
Высшее образование
Диплом Омского государственного медицинского университета. Врач - стоматолог
Дополнительное образование
- Сертификат "Первичная эндодонтия" - 2025 год
- Тренинг "iTOP — индивидуальный тренинг стоматологической профилактики" - 2025 год
- Семинар "Консультация 2.0" - 2025 год
- Практический курс "Эндодонтия 2. Инструментальная обработка" - 2024 год
- Вебинар "Шинирование Зубов при заболеваниях пародонта. Мифы и реальности." - 2024 год
- Лекционно-практический курс "Возможности материала Neo Spectra ST: от простого к сложному" - 2024 год
- Курс по фронтальной реставрации - 2023 год
Достижения
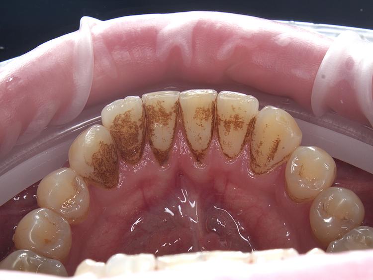
ПРИМЕРЫ РАБОТ









