- Главная
- Информация
- Наши работы
НАШИ РАБОТЫ
Средний кариес постоянного зуба у подростка 11 лет.
Зуб восстановлен фотокомпозитным материалом с сохранением природной анатомии. Зубы подростков важно лечить вовремя, не допуская развития воспаления сосудисто-нервного пучка зуба.
Возраст малыша 2 года 7 месяцев.
Родители заметили появление на зубах не счищаемого налета. На осмотре было выявлено поражение верхних резцов кариозным процессом.
В связи с маленьким возрастом было принято решение провести лечение в условиях медикаментозного сна (наркоза). Удалось избежать усугубления ситуации и развития пульпита. Восстановление эстетики зубов проводилось с помощью пломбировочного материала.
Пациенту 6 лет. Во время осмотра была выявлена несостоятельная пломба с признаками вторичного кариеса. Возникло подозрение на наличие полости, что затем было подтверждено рентгенологическим исследованием. Соседний зуб также оказался поражен контактным кариесом. Полость родители сами заметить не могли, так как она скрыта. Функциональная анатомия восстановлена фотополимерным композитным материалом.
Пациент 5 лет. Проводилось лечение 7 зубов за 1 прием под наркозом.
Нижние зубы лечены по диагнозу "пульпит", восстановлены стандартными металлическими коронками (при больших кариозных поражениях предупреждаем вторичный кариес, сколы тканей зуба).


Выполнено восстановление зубного ряда в зоне улыбки с помощью циркониевых коронок
Пациент 6 лет. Ребенок очень боялся лечить зубы в кресле, сильно реагировал на звуки стоматологической установки и прикосновения. Пролечено 7 зубов. Если по верхним по фото очевидно видны кариозные поражения, но нижние зубы были поражены скрытым кариозным процессом, который обнаружили при проведении рентгеновских снимков. Фото в процессе наглядно показывает, что скрывается под визуально "здоровой" эмалью. Восстановление зубов было проведено фотополимерным пломбировочным материалом и стандартными металлическими коронками.


Пациентке проводилось восстановление зуба в зоне улыбке с помощью керамической коронки на основе диоксида циркония. Восстановление зуба было выполнено за 2 приёма


При полном отсутствии зубов на верхней и нижней челюсти была проведена имплантация все-на-4 и все-на-2 с дальнейшим протезированием

Пациентка обратилась с жалобами на изменение цвета зубов, неудовлетворительную эстетику улыбки, множественные пломбы и сколы. Проведено перелечивание кариеса, коррекция десневого края и восстановление зоны улыбки.

Плановый осмотр к стоматологу и соблюдение рекомендаций помогут сохранить собственные зубы.
Своевременное протезирование (покрытие зубов коронками) поможет вам защитить зубы и продлить им жизнь.
Пациент обратился к нам в клинику со сколом зуба, сохранить который уже не представлялась возможным. Объемная пломба на зубе не выдержала жевательной нагрузки и привела к трещине корня.
Несостоятельный зуб заменили на имплантат, а содружественный зуб покрыли коронкой, чтобы избежать повторного инцидента.
- срок лечения пациента занял 6 месяцев;
- во время интеграции ( приживления) имплантата, соседний зуб был защищен временной коронкой, которая выдерживала все жевательные нагрузки;
- работа нашей зуботехнической лабораторий позволила сделать коронки незаметными и функциональными.


Работа выполнена методом прямой реставрации


Ребёнку 3 года с жалобами на наличие множественного кариеса, работа выполнена врачом под наркозом
Пациент обратился с жалобой на боль во время приёма сладкого. Лечение кариеса и восстановление анатомической формы зуба пломбировочным материалом
Жалоба пациента на эстетический дефект пломбы, кратковременные боли от холодного и горячего. Поражение кариесом полости под пломбой. Проведено лечение кариеса и восстановление зуба пломбой.


Пациентка обратилась с жалобами на эстетику передних зубов и на скол пломбы.
Ранее зуб был лечен по осложненному кариесу (пульпиту). Была проведена реставрация зубов в зоне улыбки.


Пациент обратился к врачу с жалобами на эстетику в зоне улыбки. Ранее леченные передние верхние зубы по осложненному кариесу (пульпиту). Один из зубов был укреплен штифтом. В ходе обсуждения лечения выяснилось, что планируется ортодонтическое лечение и было принято решение восстановить зубы пломбировочным материалом для эстетики.


Пациентка пришла на санацию полости рта. При осмотре выявили вторичный кариес под пломбой. У старой пломбы есть нависающие края и недостаточное прилегание пломбы к твердим тканям зуба.Такая клиническая картина способствует образованию кариеса под пломбой из-за попадания пищи.


Пациент обратился с жалобой на небольшой скол пломбы. При проведении осмотра под пломбой был выявлен кариес. В ходе лечения старые пломбы убрали, ткани пораженные кариесом зачистили и поставили новую пломбу.


Пациент пришел с жалобами на неприятный запах изо рта и на темный налёт, который не убирается зубной щеткой.
Для снятия зубных отложений мы провели комплексную профилактическую гигиену с применениям ультразвука, AIR FLOW, щетки с пастой.


Пациент обратился с жалобами на эстетический дефект. Полная санация полости рта у пациента. Проведено лечение кариеса всей полости рта.
Мама девочки обратилась с жалобой на неровные зубы у дочери. Лечение было проведено с использованием лигатурной брекет-системы.
Пациент обратился с жалобой на неровные зубы. Лечение проведено на самолигируемой брекет-системе.
Девушка обратилась с жалобой на неправильный прикус. Лечение проводилось на лигатурной брекет-системе


Лечение пульпита молочных зубов в наркозе


Родители обратились с ребёнком 3 года, разрушение передних и жевательных зубов. Проводилось одномоментное лечение пульпита передних зубов и восстановление жевательной группы зубов коронками.


Пациент обратился в 2020 году, спустя пару месяцев после лечения в наркозе. Передние зубы были частично пролечены, но реставрация не проводились, так как со слов доктора, пломбировочный материал "не будет держаться". Зубы разрушались дальше. На момент лечения были запломбированы каналы передних зубов, восстановление (реставрация) пломбировочным материалом.
При обращении у пациента был выявлен глубокий кариозных процесс в фиссурах, жалобы на холодное и горячее. Лечение было проведено под микроскопом и ведь таким образом лучше видны все поврежденные ткани и максимально удаётся сохранить здоровые участки.


Пациентка обратилась с жалобами на эстетику передних зубов, от ортодонтического лечения отказалась. Было проведено протезирование: замена старой металлокерамической коронки, восстановление фронтальных зубов одиночными циркониевыми коронками.


Восстановление жевательной функции и эстетики с помощью протезирования коронками


Преображение улыбки при помощи коронок и виниров. Восстановление высоты прикуса и изменение десневого контура зубов!


Родители обратились с ребёнком в возрасте 2 лет. При осмотре выявлен кариес эмали и дентина на четырёх зубах. Проведено удаление тканей, поражённых кариесом и выполено восстановление зубов пломбами из фотополимера.


Родители обратились с ребёнком в возрасте 2 лет. При осмотре обнаружен хронический пульпит на двух зубах. В условиях наркоза проведено эндодонтическое лечение зубов с восстановлением зубов пломбами из фотополимера.


Родители обратились с ребёнком в возрасте 3 лет. При осмотре выявлен кариес дентина на двух зубах. Лечение кариеса и восстановление зубов фотополимером проводилось в условиях наркоза.


Пациент 3 года. При осмотре был выявлен хронический пульпит двух зубов и кариес дентина 1 зуба в зоне улыбки. Лечение проводилось в наркозе.


Родители обратились с ребёнком и при плановом осмотре был выявлен кариес дентина зубов жевательных зубов. Восстановление жевательной и эстетической функции проводилось с помощью фотополимера.


При осмотре пациента в возрасте 5 лет был выявлен кариес дентина 2 жевательных зубов и хронический пульпит 1 зуба жевательного зуба. Произведена обработка кариозных полостей и восстановление зубов пломбами из фотополимера.


При осмотре пациента в возрасте 6 лет был поставлен диагноз хронического пульпита жевательного зуба. После эндодонтического лечения коронковая часть зуба восстановлена стандартной штампованной металлической коронкой, которая не затрудняет естественную смену зубов.


При проведении осмотра у подростка в возрасте 14 лет был обнаружен кариес жевательного зуба. Было проведено снятие старой пломбы, обработка кариозной полости и реставрация зуба фотополимерной пломбой.


Родители обратились на приём с ребёнком в возрасте 9 лет. В ходе осмотра был обнаружен кариес дентина. Восстановление зуба проводилось с помощью пломба фотополимерной по силиконовому ключу.


Пациентка обратилась с целью: изменить цвет и форму передних верхних зубов. После проведенных диагностических мероприятий - остановились на керамических винирах e.max. Работа ОТ и ДО выполненена за полторы недели. Виниры установлены на живые зубы с минимальным обтачивание зубов.


Пациент 14 лет, жалобы на неровные зубы и эстетику улыбки .
Проведена диагностика и составлен план лечения: ортодонтическое лечение с использованием брекет-системы Carriere на верхнюю и нижнюю челюсть.
На этапе лечения проводилась коррекция положения зубов и коррекция межчелюстных контактов с использованием эластиков.
На этапе снятия брекет системы с верхней и нижней челюсти: установлены несъёмные ретейнеры на верхней челюсти 12-22 зубов, на нижней челюсти 32-42 зубов.
Пациенту назначен съёмный аппарат сроком на 1 год эластопозиционер корректор Арсениной. Срок лечения: 18 месяцев.
Пациент был направлен стоматологом-терапевтом для дальнейшего ортопедического лечения.
В связи с объёмными пломбами на зубах 1.2; 1.1; 2.1; 2.2 были выбраны диоксид-циркониевые коронки с керамическим нанесением.
Срок выполнения 2 недели.


Пациентка обратилась с жалобой на полное отсутствие зубов и невозможность пережевывать пищу! Было решено устанавливать по четыре имплантата на каждую челюсть и протезировать в концепции "все на 4" на верхней и нижней челюстях. Результат работы на фото.


Ребенок 3 года. Проведено лечение в условиях медикаментозного сна (наркоза).


Ребенок 3 года. Проведено лечение в условиях медикаментозного сна (наркоза).


Родители обратились с ребёнком 3 лет. Проведено лечение обратимого пульпита и кариеса в условиях медикаментозного сна (наркоза). Зуб покрыт стандартной металлической коронкой до этапа смены прикуса.


Ребенок 3 года. Проведено лечение глубокого кариеса временных зубов в условиях медикаментозного сна (наркоза). Восстановление зуба стандартной металлической коронкой.


Ребенок 5 лет. Лечение пульпита и кариеса в условиях медикаментозного сна (наркоза).


Ребенок 5 лет. Лечение пульпита и кариеса в условиях медикаментозного сна (наркоза).


Ребенок 2,5 года. Восстановление передних разрушенных зубов пломбировочным материалом и восстановление жевательных зубов стандартными металлическими коронками в условиях медикаментозного сна (наркоза).


У пациентки выпал мостовидный протез, который она ставила еще лет 15 назад в другой клинике. К сожалению, из-за того, что свои зубы, на которых стояла конструкция - были сильно изношены, повторное протезирование на эти зубы было противопоказано! Было решено установить импланты. После приживления - установлены: циркониевая коронка и циркониевый мост на имплантах.


Пациентка обратилась с жалобами на эстетику (щели, цвет, форма). Было решено провести тотальное протезирование на верхней и нижней челюстях - керамическими винирами и коронками. Работа заняла - 1 месяц от начала и до конца.


Проведено лечение ребенка 3 лет в условиях наркоза.


Возраст пациента: 23 года .
Срок лечения :18 месяцев
До лечения: жалобы на неровные зубы и эстетику улыбки .
Проведена диагностика и составлен план лечения: ортодонтическое лечение с использованием брекет -системы CARRIERE на верхнюю и нижнюю челюсть .
На этапе лечения проводилась коррекция положения зубов и коррекция межчелюстных контактов с использованием эластиков.
На этапе снятия брекет-системы с верхней и нижней челюсти были установлены несъемные ретейнеры. Назначены съёмные ретенционные каппы на верхнюю и нижнюю челюсть .


Возраст пациента: 13 лет
Срок лечения: 18 месяцев
До лечения: жалобы на неровные зубы и эстетику улыбки.
Проведена диагностика и составлен план лечения: ортодонтическое лечение с использованием брекет-системы CARRIERE на верхнюю и нижнюю челюсть.
До начала ортодонтического лечения пациентке было проведено под местной анестезией удаление зачатков 18,28,38,48 зубов.
На этапе лечения проводилась коррекция положения зубов и коррекция межчелюстных контактов с использованием эластиков.
На этапе снятия брекет системы с верхней и нижней челюсти :установлены несъёмные ретейнеры на верхней челюсти 13-23 зубов, на нижней челюсти 32-42 зубов.
Пациенту назначен съёмный аппарат сроком на 1 год эластопозиционер корректор Арсениной.


Лечение кариеса и восстановление зубов композитным материалом за одно посещение


Ребенок 4 года. В условиях наркоза проведено лечение пульпитов временных зубов с последующим восстановлением композитным материалом


В одно посещение выполнено лечение пульпита и кариеса. Восстановление композитным материалом Ceram x.


Лечение шести зубов с пришеечным кариесом. Работа выполнена в 2 посещения. Зубы восстановлены композитным материалом


Де- и минерализованные зубные отложения пациентки с ортодонтической конструкцией. Комплексная профессиональная гигиена ультразвуковым скейлером и системой AirFlow


Замена старых пломб на эстетические и функциональные реставрации


Восстановление подверженного кариесу зуба на уровне десны современными пломбировочными материалами


Пациентка с другого города. Обратилась на консультацию по восстановлению красивой улыбки. В кратчайшие сроки подготовили зубы и запротезировали их коронками из диоксида циркония. Пациентка счастлива.


Пациентка обратилась с жалобой на косметический дефект. Так как передний зуб давно отсутствует, а соседний сильно разрушен, пациентка разучилась улыбаться. В связи с тем, что по финансовой части пациентка была ограничена, было решено восстановить отсутствующий и разрушенный зубы - мостовидным металлокерамическим мостом. Перед этим опорные зубы были подготовлены. Работа по восстановлению улыбки заняла полторы недели.


Пигментированный зубной налёт "Присли" у пациента 11 лет.
Профессиональная гигиена проводилась при помощи аппарата Air Flow, позволяющего удалить зубной налёт. Завершающим этапом было полирование зубов, которое позволяет сократить дальнейшее образование налёта.


Пациент 5 лет, сильно разрушенный временный моляр нижней челюсти. Однозначное показание к восстановлению зуба коронкой. Проведено лечение молочного зуба с постановкой коронки.


Кариозный процесс на окклюзионно-небной поверхности.




Проведено лечение молочных зубов в условиях медикаментозного сна у ребенка 2 лет.


Проведено лечение в условиях наркоза у ребенка 5 лет. Один зуб в виду своей разрушенности покрыли детской металлической коронкой, а другой молочный зуб спасти уже не удалось.






Жалобы на кратковременную боль от сладкого и холодного. Замена старой, несостоятельной пломбы на эстетико-функциональную


Реставрация центральных резцов с учетом эстетических параметров улыбки


Пациент возрастом 26 лет обратился с жалобами на неровные зубы и эстетику улыбки.
Проведена диагностика и составлен план лечения, из анамнеза у пациентки аллергия на металл - было принято решение установить брекет системы Biomim сроком на неделю, аллергической реакции не определилось и пациентка проходила ортодонтическое лечение с использованием лигатурной брекет-системы Biomim на верхнюю и нижнюю челюсть.
На этапе лечения проводилась коррекция положения зубов и коррекция межчелюстных контактов с использованием эластиков.
Срок лечения составил 18 месяцев.
На этапе снятия брекет системы с верхней и нижней челюсти: установлены несьемные ретейнеры на верхней челюсти 13-23 зубов, на нижней челюсти 32-42 зубов.
Пациент проходит лечение у стоматолога-ортопеда, по завершению ортопедического этапа, будут изготовлены ретенционные каппы сроком на 1 год.


Лечение в условиях наркоза ребенка 3-х лет.


Работа в условиях наркоза у ребенка 5 лет.


Лечение постоянного зуба в условиях наркоза у ребенка 7 лет.
Реставрация режущего края 11 и 21 зубов




Боковая группа зубов была удалена. Лечение зубов под общим обезболиванием.






В клинику обратился подросток 14 лет с жалобами на глубокие кариозные полости фронтальной группы зубов.
Зубы вылечены по диагнозу «Пульпит» и восстановлены композитными реставрациями.


Ребенок 4 года. Обратились с жалобами на сильно разрушенные зубы.
В условиях наркоза зубы вылечены по диагнозу «Пульпит». На молочные зубы установлены металлические коронки.
Реставрация 26 зуба

Реставрация фронтальных нижних зубов с гипоплазией эмали
Реставрация 16 зуба


Лечение 3х летнего ребенка.


Лечение ребенка 7 лет. Лечение кариеса постоянного зуба и пульпита двух временных зубов.


Пациентка обратилась с жалобами на подвижность и разрушенность зубов на верхней челюсти. Было решено провести удаление оставшихся зубов на верхней челюсти и установку 6 имплантов. Результат работы - через 6 месяцев.


Коррекция скученности верхнего и нижнего зубного ряда. Перекрестный прикус в боковом сегменте.


Коррекция скученности верхнего и нижнего зубного ряда. Коррекция наклона передних зубов. Срок лечения 1 год и 7 месяцев.


Коррекция положения зубов у мальчика, 10 лет.


Коррекция скученности зубных рядов. Коррекция мезиального прикуса. Перекрестный прикус.


Коррекция положения зубов, промежутков. Срок лечения 1 год 4 мес.


Коррекция рецидива скученности зубных рядов после лечения на брекет-системе спустя 10 лет. Подготовка к имплантации. Ретенционных аппаратов предыдущим врачом установлено не было. Срок лечения 10 мес.


Коррекция скученности зубных рядов. Реставрация резцов после ортодонтического лечения. Срок лечения 1 год 1 мес.
Реставрация 16,17 зубов


Ребенок 4 года. Обратились с жалобами на кариозные поражения зубов.
В условиях наркоза зубы вылечены по диагнозу «Пульпит» и восстановлены пломбировочным материалом.


Обратилась мама с ребенком 4-х лет, с жалобами на многочисленные кариозные поражения зубов. В условиях сна зубы вылечены по диагнозу "Кариес" и "Пульпит" и восстановлены композитным пломбировочным материалом. Один зуб "спасти" не получилось, он был удалён.


Лечение ребенка 1,5 лет. Восстановление передних сильно разрушенных зубов циркониевыми коронками.




Ортодонтическое лечение очень важно проводить рука об руку с профилактический гигиеной полости рта. Ортодонтические аппараты создают зоны ретенции зубного налета, который проблематично убрать самостоятельно в домашних условиях.


ДО: Заметны налет, пигментация и твердые зубные отложения, что придает неухоженный вид зубам.
После: Поверхность зубов очищена, восстановлен их естественный цвет, отсутствуют твердые зубные отложения и налет. Зубы выглядят здоровыми и ухоженными, а десны - свежими и более розовыми.
Обработка зубов системой AirFlow для снятия пигментированного, мягкого налета всей группы зубов
Обработка всей поверхности зубов системой AirFlow, снятие пигментированного зубного налета

Снятие пигментированного зубного налета системой AirFlow зубов верхней челюсти

Профессиональная гигиена полости рта системой AirFlow для снятия пигментированного налета; ультразвуковым скейлингом для снятия твердого зубного налета (зубной камень)

Снятие пигментированного зубного налета системой AirFlow на нижней челюсти


Профессиональная гигиена полости рта с использованием системы AirFlow для снятия пигментированного налета, а так же ультразвуковым скейлингом для снятия твердых зубных отложений (зубной камень)


Профессиональная гигиена полости с использованием системы AirFlow для снятия пигментированного зубного налета


Снятие твердых зубных отложений (зубной камень), с использованием Ультразвукового скейлинга


Профессиональная гигиена полости рта с использованием системы AirFlow для снятия пигментированного зубного налета


Профессиональная гигиена полости рта с использованием системы AirFlow для снятия пигментированного зубного налета


Профессиональная гигиена полости рта во время ортодонтического лечения, способствует снятию зубного налета, остатков пищи с труднодоступных мест с использованием системы AirFlow


Профессиональная гигиена полости рта во время ортодонтического лечения, способствует снятию зубного налета, остатков пищи с труднодоступных мест с использованием системы AirFlow


Профессиональная гигиена полости рта во время ортодонтического лечения, способствует снятию зубного налета, остатков пищи с труднодоступных мест с использованием системы AirFlow


Снятие твердых зубных отложений (зубного камня) с использованием ультразвукового скейлинга


Профессиональная гигиена полости рта с использованием системы AirFlow для снятия пигментированного зубного налета


Профессиональная гигиена полости с использованием системы AirFlow для снятия пигментированного зубного налета


Профессиональная гигиена полости рта с использованием системы AirFlow для снятия пигментированного зубного налета


Профессиональная гигиены полости рта направлена на профилактику и предотвращение стоматологических заболеваний. Процедура состоит из осмотра, снятие твердых и мягких зубных отложении, полировки.
Пациентка обратилась с жалобами на дисколорит зубов. Произведено химическое отбеливание Opalesence Boost.
Цвет до: А3,5, после: В2

Реставрация зубов 11-22 на верхней челюсти и 41-32 на нижней челюсти.

Реставрация зубов 11,21
Восстановление скола язычной стенки и лечение кариеса 36 зуба
Лечение кариеса зуба 37


Процедура профессиональной гигиены полости рта у пациентов с брекет-системами требует особого внимания и аккуратного подхода, так как наличие ортодонтических конструкций может затруднять доступ к некоторым участкам зубов. В этом случае, когда налёт образовался под брекетами и между зубами, важно тщательно удалить все отложения, чтобы предотвратить развитие кариеса и воспаления дёсен.
Чтобы удалить твердый налет (зубной камень), применяется ультразвуковой скалер. Этот инструмент генерирует ультразвуковые волны, которые разрушают твердые отложения без повреждения эмали. Ультразвуковая чистка особенно эффективна при удалении камня из труднодоступных мест, таких как межзубные промежутки и участки вокруг брекетов.
Так же используется система Air Flow – это метод профессиональной чистки зубов, который используется для удаления мягкого налёта, пигментации и поверхностных пятен с поверхности зубов. Процедура основана на использовании струи воздуха, воды и специального абразивного порошка, которая направляется на зубы под высоким давлением.


Пациент обратился с жалобами на острую боль в нижней челюсти с правой стороны. Была проведена диагностика и обнаружена глубокая кариозная полость в зубе 36. Пациенту представлен план лечения в 2 посещения. После первого же посещения у пациента улучшилось самочувствие и исчезла боль, так как был удален воспаленная пульпа зуба.
На снимке изображен зуб во время лечения для рентгенологического контроля перед пломбировкой каналов и после. Дальнейшее лечение пациент прошел у врача ортопеда, а именно восстановление зуба искусственной коронкой.


В клинику обратился пациент с жалобами на периодическую боль во время еды. Он не знал о критическом состоянии зуба, так как уже несколько лет не посещал стоматолога.
Зуб имел две кариозные полости очень близких к пульповой камере.
Во время лечения под микроскопом была вскрыта полость зуба и обнаружено воспаление пульпы. Принято решение лечения каналов (финальный второй снимок) и протезирование зуба искусственной коронкой, т.к. было разрушено более 50% своих тканей зуба. После любого эдодонтического лечения требуется регулярные осмотры и диагностика у стоматолога терапевта 1 раз в 6 месяцев.


Пациент обратился с жалобами на застревание пищи между зубами 2.6 - 2.5 и боль во время еды.
Лечение зуба 2.6 происходило с использованием микроскопа и коффердама (изоляция зуба во время лечения он влаги- зеленый платок на фото)
Прием занял 1 час, соседний зуб 2.5 был лечен в последующее посещение, после этого пациент пришел на профосмотр где отметил что все неприятные ощущения исчезли, прием пищи начал доставлять удовольствие!


Пациентка обратилась в клинику "Улыбка" после посещения государственной стоматологии. Стенка зуба была разрушена глубоко под десну, полость зуба и канал заполнен размягченными тканями зуба.
Перед эндодонтическим лечением была восстановлена стенка зуба с ретракцией десны. Использовался коффердам и микроскоп для более качественной и ускоренной работы.
После эндодонтического лечения зуб восстановлен искусственной коронкой.


Пациент обратился с целью замены коронки на ранее леченном зубе. После проведения компьютерной томографии в зубе обнаружены недопломбированные каналы и очаг разряжения костной ткани вокруг корня зуба. Было принято решение эндодонтического перелечивания зуба.
Первым шагом было снятие коронки врачом- ортопедом и изготовление временной пластмассовой коронки. Лечение у терапевта заняло 2 посещения. Заживление очага воспаление заняло около 6 месяцев.


Пациентка обратилась в стоматологию с целью планового приема
В ходе осмотра и КТ-диагностики был выявлен вторичный кариес вследствие недостаточного прилегания пломбы
В течении приема был убран старый пломбировочный материал, инфицированные твердые ткани. Далее восстановление методом функциональной реставрации светоотверждаемым материалом


Пациент 12 лет
Лечение кариеса постоянного зуба.


Пациент 13 лет
Лечение кариеса постоянного 26 зуба.


Пациент пришел на приём с жалобами на эстетический дефект и реакцией на температурные раздражители. Было проведено лечение кариеса и эстетическая реставрация.


Пациент обратился с жалобами на эстетический дефект.
Проведена реставрация.


Пациент обратился с жалобами на боли во время приёма пищи, в том числе реакция на температурные раздражители.
Было проведено лечение кариеса и восстановление формы зуба в данной области.


Пациент проходил санацию полости рта перед установкой ортопедических конструкцией (коронки), лечение кариеса и устранение дефектов пломб.


Пациенту было проведено лечение кариеса в зоне улыбки и выполнена эстетическая реставрация.


На прием обратились родителе с ребенком 14 лет с просьбой научить ребенка чистить правильно зубы. В ходе приема был проведен осмотр и обнаружено обильное количество как мягких зубных отложений так и твердых (зубной камень) Далее на все зубы был нанесен индикатор налета, для того чтобы показать и родителям и ребенку наглядно, именно те участки где хуже всего прочищает ребенок. Далее проведена профессиональная гигиена с помощью Air Flow и ультразвукового аппарата. После профессиональной гигиены полости рта были даны рекомендации, как улучшить гигиену в домашних условиях.


Родители обратились в клинику с ребенком подростком 17 лет с просьбой научить ребенка правильному уходу за зубами. В ходе приёма был проведён осмотр и рекомендована диагностика для контроля контактного кариеса жевательной группы зубов, а также была проведена профилактическая гигиена, включающая в себя удаление мягкого зубного налета с помощью аппарата Air Flow, удаление минерализованных зубных отложений с помощью ультразвукового аппарата. После проведения гигиены были даны рекомендации по домашнему уходу.
Наличие дополнительных конструкций в полости рта (в данном случае брекетов )требует более тщательного контроля, т. к. она может в случае не удовлетворительной гигиены полости рта приводить к образование кариозных поражений на поверхности зуба.
Пациентка обратилась с жалобой на выпадение пломбы 36 зуба. Была проведена прямая реставрация
Пациент обратился с жалобой на неудовлетворительный внешний вид пломбы 12 зуба. Была проведена эстетическая реставрация.
Эстетическая реставрация режущего края зубов 11, 21, 22
Эстетическая реставрация 12 зуба
Пациентка обратилось с жалобой на кариес 12 зуба. Была выполнена эстетическая реставрация.


В условиях сна зубы вылечены по диагнозу "Кариес" и "Пульпит" Проведена реставрация анатомической формы зубов композитным пломбировочным материалом.


В клинику обратилась мама с ребенком, с жалобами на несчищаемый налет с зубов. Зубным налётом оказался кариес. Было принято решение - лечение в условиях наркоза, ввиду большого количества требующих лечения зубов.


В клинику обратилась мама с подростком 12-ти лет с жалобами на разрушенный зуб, на кратковременные боли от сладкого. Зуб вылечен по диагнозу Кариес. Проведена реставрация анатомической формы зуба композитным пломбировочным материалом.
Пациентка обратилась в клинику с трещиной в зубе, полученной в результате травмы. На первом приёме была согласована этапность проведения работ: диагностика, удаление зуба, имплантация, протезирование временной коронкой, пластика десны, протезирование постоянной коронкой.
Доктор хирург-имплантолог Габибзаде Элмаддин Арзуевич аккуратно удалил зуб, сохраняя максимальное количество тканей. После восстановления костной ткани была проведена имплантация с немедленной нагрузкой имплантата временной коронкой в день приема. Был выполнен запрос пациентки «зубы за один день». В течение 6 месяцев пациентка выполняла рекомендации и приходила на осмотр, что позволило добиться прекрасного эстетического результата. Через 6 месяцев на имплантат поставили постоянную коронку из безметалловой керамики, изготовленную в собственной зуботехнической лаборатории клиники в кратчайшие сроки.
Работы были выполнены оперативно и желаемый результат пациентка получила через 7 месяцев
Обратившись к нам в клинику в декабре 2022 года пациентка преследовала цель красивой улыбки. После консультации появилась еще цель и правильного прикуса. В командной работе были несколько специалистов: терапевт, ортодонт и ортопед
На первом приёме была согласована этапность проведения работ: диагностика, временные реставрации у терапевта, ортодонтическое лечение, восстановление зубов винирами.
Путь лечения начался с временных реставраций на фронтальной (передней) группе зубов.
Далее ортодонтическое лечение, которое завершилось в апреле 2024 года и длилось 1 год и 6 месяцев.
Функцию восстановили, переходим к эстетике.
Восстановили резцы винирами, изготовленными в собственной зуботехнической лаборатории клиники в кратчайшие сроки. Подобрали цвет и форму, соответствующую всему зубному ряду.
Благодаря комплексному подходу пациентка обрела не только красивую, но и здоровую улыбку
Сложность данной работы заключается в том, что пациент проживал в другом городе.
Сроки лечения были ограничены и всегда были четкие даты отъезда пациента.
На первом приеме была согласована этапность работа: диагностика, установка дентальных имплантатов на верхней и нижней челюстях в области жевательных зубов - пластика мягких тканей- протезирование имплантатов и зубов временными коронками - работа с височно-нижнечелюстным суставом - протезирование зубов коронками из материала диоксида циркония.
Планирование работы началось с фундаментальной диагностики костной ткани, мягких тканей, прикуса и височно-нижнечелюстного сустава.
Так как по срокам выполнения работы мы были ограничены, выполнялись манипуляции в максимальных объемах. Командная работа докторов и пациента позволяет добиться желаемого результата в кратчайшие сроки и с наилучшим результатом, поэтому отдельное спасибо выражаем пациенту за боевой дух и за соблюдения рекомендаций.
Протезирование во фронтальном отделе всегда непростое, так имеется большой дефицит мягких тканей десны, что затрудняет создание "незаметного" восстановления.
Командная работа с хирургом-имплантологом Габибзаде Элмаддином Арзуевичем и зуботехнической лабораторией позволила восстановить зубной ряд эстетично и функционально


Пациентка 22 года. Обратилась с целью улучшить эстетику и зафиксировать скайсы на зубы 12 и 22. Работы выполнена в одно посещение длительностью 20 минут.


Пациент40 лет, жалобы на боль от термических и химических раздражителелй. Произведено лечение кариеса 14,15 зубов под микроскопом в условиях седации.


Пациентка 18 лет, жалобы на бело пятно на фронтальном зубе. Произведено неинвазивное лечение кариеса в стадии пятна системой ICON (лечение кариеса в начальной стадии без анестезии и сверления).


Пациентка 32 года, после ортодонтического лечения обратилась с жалобой на эстетику 12,13 зубов. Была произведена реставрация 12,13 зубов Estelite Sigma Quick ОА2+А2 в одно посещение.


Пациентка 36 лет с жалобами на стираемость нижних резцов. Выполнена реставрация режущих краев 42-31 зубов.


Реставрация пришеечных дефектов 22, 23 зубов


Пациентка 32 года обратилась со стираемостью нижних резцов. Выполнена реставрация 42-31 зубов. Далее пациентка направлена к ортопеду для изготовления каппы на нижнюю челюсть.


Ребенок, 8 лет очень боялся лечения зубов в кресле, было принято решение лечить зубы во сне.


У ребенка 3 лет все зубы верхней челюсти были повреждены кариесом. Зубы вылечены за один день в условиях наркоза и восстановлены композитными пломбами.


Лечение временных зубов у ребенка 5 лет под наркозом.
Зуб 75 лечен по кариесу.
Зуб 74 лечен по пульпиту.


В клинику обратились родители с ребенком 5 лет с жалобами на болевые ощущения. В ходе визуального осмотра была обнаружены кариозные поражения на жевательной поверхности зуба . Для более точной поставки диагноза была проведена диагностика, которая подтвердила наличие кариозной полости, уходящей глубоко до пульпы зуба. В ходе осмотра ребенок вел себя беспокойно, поэтому с родителями обсудили возможную необходимость применения седации. Лечение было запланировано на 2 приёма. Во время первого приёма было принято решение применения седации, а вот второй приём прошел в доверительной форме без седации. Пролечили зуб, с последующей постановкой фотополимерной пломбы.








Лечение зубов в условиях медикаментозного сна (наркоза)


Кариес на жевательной и контактной поверхности, восстановление контактного пункта и анатомии зуба.


Контактный кариес 84 и 85 зуба. Восстановление контактного пункта и анатомии зубов с сохранением жизнеспособности пульпы


Пациент 4 года.
Лечение 85 зуба по диагнозу «Хронический пульпит» в условиях общего обезболивания(наркоз).
Пациентка обратилась в стоматологию с целью планового приема
В ходе осмотра и КТ-диагностики был выявлен кариес на контактной поверхности
В течении приема был убраны инфицированные твердые ткани. Далее восстановление методом функциональной реставрации светоотверждаемым материалом
Пациентка обратилась в стоматологию с целью планового приема
В ходе осмотра и КТ-диагностики был выявлен кариес на контактной поверхности
В течении приема был убраны инфицированные твердые ткани. Далее восстановление методом функциональной реставрации светоотверждаемым материалом
Пациентка обратилась в стоматологию с целью планового приема
В ходе осмотра и КТ-диагностики был выявлен кариес на контактной поверхности клыка верхней челюсти
В течении приема был убраны инфицированные твердые ткани. Далее восстановление методом функциональной реставрации светоотверждаемым материалом
Пациентка обратилась в стоматологию с целью планового приема
В ходе осмотра и КТ-диагностики был выявлен кариес на контактной поверхности
В течении приема был убраны инфицированные твердые ткани. Далее восстановление методом функциональной реставрации светоотверждаемым материалом
Пациентка обратилась в стоматологию с целью планового приема
В ходе осмотра и КТ-диагностики был выявлен кариес на жевательной поверхности
В течении приема был убраны инфицированные твердые ткани. Далее восстановление методом функциональной реставрации светоотверждаемым материалом
Пациентка обратилась в стоматологию с целью планового приема
В ходе осмотра и КТ-диагностики был выявлен кариес на контактной поверхности
В течении приема был убраны инфицированные твердые ткани. Далее восстановление методом функциональной реставрации светоотверждаемым материалом
Пациентка обратилась в стоматологию с целью планового приема
В ходе осмотра и КТ-диагностики был выявлен кариес на жевательной поверхности
В течении приема был убраны инфицированные твердые ткани. Далее восстановление методом функциональной реставрации светоотверждаемым материалом
Пациентка обратилась в стоматологию с целью предварительного пародонтологического лечения перед ортодонтическим лечением
В ходе осмотра было выявлено воспаление десневых сосочков
Было проведено пародонтологическое лечение, которое включает в себя профессиональную гигиену полости рта, противовоспалительную терапию, а также коррекция гигиены полости рта
Пациенту требовалось проведение плановой профилактической гигиены.
На первом этапе использовали ультразвуковую чистку, которая позволяет убрать наддесневые и поддесневые зубные отложения.
На втором этапе применялся аппарат Air Flow, позволяющий устранить пигментированный и мягкий зубной налёт от кофе, чая и красящих продуктов.
Завершающим этапом было полирование зуба, которое позволяет сократить дальнейшее образование налёта.
Пациенту требовалось проведение плановой профилактической гигиены.
На первом этапе использовали ультразвуковую чистку, которая позволяет убрать наддесневые и поддесневые зубные отложения.
На втором этапе применялся аппарат Air Flow, позволяющий устранить пигментированный и мягкий зубной налёт от кофе, чая и красящих продуктов.
Завершающим этапом было полирование зуба, которое позволяет сократить дальнейшее образование налёта.


Пациенту требовалось проведение плановой профилактической гигиены.
На первом этапе использовали ультразвуковую чистку, которая позволяет убрать наддесневые и поддесневые зубные отложения.
На втором этапе применялся аппарат Air Flow, позволяющий устранить пигментированный и мягкий зубной налёт от кофе, чая и красящих продуктов.
Завершающим этапом было полирование зуба, которое позволяет сократить дальнейшее образование налёта.
Пациентка обратилась в стоматологию с целью планового приема
В ходе осмотра и КТ-диагностики был выявлен вторичный кариес вследствие недостаточного прилегания пломбы
В течении приема был убран старый пломбировочный материал, инфицированные твердые ткани. Далее восстановление методом функциональной реставрации светоотверждаемым материалом


Пациент 1 год 10 месяцев
Лечение фронтальной группы временных зубов под общей анестезией (наркозом)


В клинику обратились родители с подростком получившим травму трех передних постоянных зубов. Травма зубов произошла в пределах дентина, без обнажения нерва, поэтому зубы удалось сохранить «живыми».
Проведена реставрация зубов в 2 посещения, с восстановлением эстетической и жевательной функции.
Эстетическая реставрация скола 11 зуба
Выполнена реставрация на 11 зубе с заменой несостоятельных пломб


Лечение в условиях сна. Ребенок 2,5 года. Зубы вылечены по диагнозу кариес и пульпит с восстановлением пломбировочным композитным материалом.


Лечение скрытого кариеса (между зубами) постоянных зубов и восстановление их фотокомпозитным пломбировочным материалом.


Лечение кариеса фронтального (переднего) постоянного зуба.


Лечение кариеса молочного зуба и восстановление его фотокомпозитным пломбировочным материалом. Лечение пульпита молочного зуба и закрытие его стандартной металлической коронкой.


Лечение скрытого кариеса (между зубами) молочных зубов и восстановление их фотокомпозитным пломбировочным материалом.


Лечение передних молочных зубов по осложненному кариесу, с восстановлением пломбировочным материалом. Лечение проведено в условиях общего обезболивания («во сне»).


Пациент обратился с целью профилактического приёма. В ходе которого выяснилось, что имеется потемнение зуба, в области естественных углублений. После тщательного обследования с применением КТ-диагностики, было выяснено, разрушение твердых тканей зуба ниже уровня эмали, затронувшее дентин.
Учитывая ситуацию, было принято решение провести лечение кариеса методом препарирования поврежденных областей и восстановления анатомической формы зуба композитным материалом светового отверждения.
Во время процедуры был удален пигментированный зубной налет и камень, а также проведена полировка зубов.
Во время процедуры удален пигментированный зубной налет и камень, проведена полировка зубов.
Во время процедуры удален пигментированный зубной налет и камень, проведена полировка зубов. После снятия зубных отложений можно оценить состояние зубов: видна старая пломба и кариозная полость.
По запросу пациента была проведена реставрация зубов имитирующая клыки вампира

- Самолигируемая брекет-система "Н4" была установлена на две челюсти.
- Срок лечения - 1 год.
Самолигируемая брекет-система "Н4" на две челюсти.
- Срок лечения - 9 месяцев.
- Неудовлетворительная гигиена полости рта при ортодонтическом лечении привело к множественному кариесу, что привело к досрочному снятию брекет-системе.


Лечение зуба 2.6 под микроскопом. Кариес жевательной поверхности, препарирование полости с дальнейшим восстановлением анатомии зуба.


Лечение 37 зуба по диагнозу «кариес дентина» у подростка 17 лет.


Замена пломбы и лечение кариеса на 46 зубе у подростка 15 лет.


Пациент обратился с жалобами на зубные отложения: пигментированный зубной налет, мягкий зубной налет, наддесневой и поддесневой минерализованный зубной камень.


На прием обратились родителе с ребенком 10 лет с просьбой научить ребенка чистить правильно зубы. В ходе приема был проведен осмотр и обнаружено обильное количество как мягких зубных отложений так и твердых (зубной камень) Далее на все зубы был нанесен индикатор налета, для того чтобы показать и родителям и ребенку наглядно, именно те участки где хуже всего прочищает ребенок. Далее проведена профессиональная гигиена с помощью Air Flow и ультразвукового аппарата. После профессиональной гигиены полости рта были даны рекомендации, как улучшить гигиену в домашних условиях.


Удаление наддесневыз зубных отложений: пигментированный зубной надет, минерализованный зубной камень.


Пациент обратился с жалобами на зубные отложения: пигментированный зубной налет, мягкий зубной налет. Наддесневой и поддесневой минерализованный зубной камень.


Пациент обратился с жалобами на наросты на зубах: мягкий зубной налет, наддесневой и поддесневой минерализованный зубной камень.


Пациент обратился с жалобами на зубные отложения: пигментированный зубной налет, мягкий зубной налет.


Пациенту было проведено лечение кариеса и восстановление анатомической формы зубов.


Пациент обратился с жалобами на боли на холодное и сладкое, было проведено лечение кариеса и замена старых пломб с восстановлением анатомической формы зуба.


В клинику обратились родители с ребенком 2 лет с жалобами на разрушение зубов.
Лечение проходило в условиях наркоза с восстановлением передних зубов циркониевыми коронками.


Лечение кариеса постоянного зуба у подростка 14 лет.


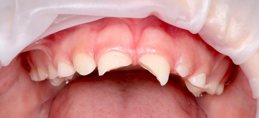
Травма передних зубов.
Восстановление передних зубов при помощи сохранившихся осколков и пломбировочного материала.


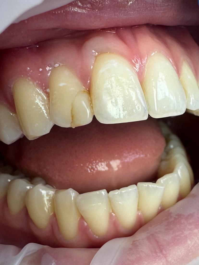
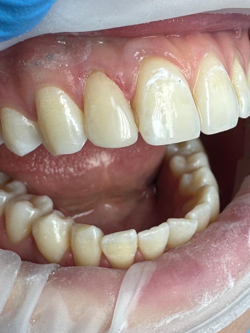
Подросток, 17 лет
Сломал зуб, восстановление бокового резца при помощи композитных материалов.


Пациент обратился с жалобами на эстетический дефект в зоне улыбки.
Была проведена реставрация и замена старой пломбы.


Ребенок 5 лет лечение пульпитов и кариесов верхних зубов, с восстановлением пломбировочным материалом и металлическими коронками, удаление двух зубов