- Главная
- Информация
- Наши работы
НАШИ РАБОТЫ


Работа выполнена методом прямой реставрации
Пациент обратился с жалобой на боль во время приёма сладкого. Лечение кариеса и восстановление анатомической формы зуба пломбировочным материалом
Жалоба пациента на эстетический дефект пломбы, кратковременные боли от холодного и горячего. Поражение кариесом полости под пломбой. Проведено лечение кариеса и восстановление зуба пломбой.


Пациентка обратилась с жалобами на эстетику передних зубов и на скол пломбы.
Ранее зуб был лечен по осложненному кариесу (пульпиту). Была проведена реставрация зубов в зоне улыбки.


Пациент обратился к врачу с жалобами на эстетику в зоне улыбки. Ранее леченные передние верхние зубы по осложненному кариесу (пульпиту). Один из зубов был укреплен штифтом. В ходе обсуждения лечения выяснилось, что планируется ортодонтическое лечение и было принято решение восстановить зубы пломбировочным материалом для эстетики.


Пациентка пришла на санацию полости рта. При осмотре выявили вторичный кариес под пломбой. У старой пломбы есть нависающие края и недостаточное прилегание пломбы к твердим тканям зуба.Такая клиническая картина способствует образованию кариеса под пломбой из-за попадания пищи.


Пациент обратился с жалобой на небольшой скол пломбы. При проведении осмотра под пломбой был выявлен кариес. В ходе лечения старые пломбы убрали, ткани пораженные кариесом зачистили и поставили новую пломбу.


Пациент обратился с жалобами на эстетический дефект. Полная санация полости рта у пациента. Проведено лечение кариеса всей полости рта.
При обращении у пациента был выявлен глубокий кариозных процесс в фиссурах, жалобы на холодное и горячее. Лечение было проведено под микроскопом и ведь таким образом лучше видны все поврежденные ткани и максимально удаётся сохранить здоровые участки.


Замена старых пломб на эстетические и функциональные реставрации


Восстановление подверженного кариесу зуба на уровне десны современными пломбировочными материалами


Жалобы на кратковременную боль от сладкого и холодного. Замена старой, несостоятельной пломбы на эстетико-функциональную


Реставрация центральных резцов с учетом эстетических параметров улыбки
Реставрация режущего края 11 и 21 зубов
Реставрация 26 зуба

Реставрация фронтальных нижних зубов с гипоплазией эмали
Реставрация 16 зуба
Реставрация 16,17 зубов

Реставрация зубов 11-22 на верхней челюсти и 41-32 на нижней челюсти.

Реставрация зубов 11,21
Восстановление скола язычной стенки и лечение кариеса 36 зуба
Лечение кариеса зуба 37


Пациент обратился с жалобами на острую боль в нижней челюсти с правой стороны. Была проведена диагностика и обнаружена глубокая кариозная полость в зубе 36. Пациенту представлен план лечения в 2 посещения. После первого же посещения у пациента улучшилось самочувствие и исчезла боль, так как был удален воспаленная пульпа зуба.
На снимке изображен зуб во время лечения для рентгенологического контроля перед пломбировкой каналов и после. Дальнейшее лечение пациент прошел у врача ортопеда, а именно восстановление зуба искусственной коронкой.


В клинику обратился пациент с жалобами на периодическую боль во время еды. Он не знал о критическом состоянии зуба, так как уже несколько лет не посещал стоматолога.
Зуб имел две кариозные полости очень близких к пульповой камере.
Во время лечения под микроскопом была вскрыта полость зуба и обнаружено воспаление пульпы. Принято решение лечения каналов (финальный второй снимок) и протезирование зуба искусственной коронкой, т.к. было разрушено более 50% своих тканей зуба. После любого эдодонтического лечения требуется регулярные осмотры и диагностика у стоматолога терапевта 1 раз в 6 месяцев.


Пациент обратился с жалобами на застревание пищи между зубами 2.6 - 2.5 и боль во время еды.
Лечение зуба 2.6 происходило с использованием микроскопа и коффердама (изоляция зуба во время лечения он влаги- зеленый платок на фото)
Прием занял 1 час, соседний зуб 2.5 был лечен в последующее посещение, после этого пациент пришел на профосмотр где отметил что все неприятные ощущения исчезли, прием пищи начал доставлять удовольствие!


Пациентка обратилась в клинику "Улыбка" после посещения государственной стоматологии. Стенка зуба была разрушена глубоко под десну, полость зуба и канал заполнен размягченными тканями зуба.
Перед эндодонтическим лечением была восстановлена стенка зуба с ретракцией десны. Использовался коффердам и микроскоп для более качественной и ускоренной работы.
После эндодонтического лечения зуб восстановлен искусственной коронкой.


Пациент обратился с целью замены коронки на ранее леченном зубе. После проведения компьютерной томографии в зубе обнаружены недопломбированные каналы и очаг разряжения костной ткани вокруг корня зуба. Было принято решение эндодонтического перелечивания зуба.
Первым шагом было снятие коронки врачом- ортопедом и изготовление временной пластмассовой коронки. Лечение у терапевта заняло 2 посещения. Заживление очага воспаление заняло около 6 месяцев.


Пациентка обратилась в стоматологию с целью планового приема
В ходе осмотра и КТ-диагностики был выявлен вторичный кариес вследствие недостаточного прилегания пломбы
В течении приема был убран старый пломбировочный материал, инфицированные твердые ткани. Далее восстановление методом функциональной реставрации светоотверждаемым материалом


Пациент пришел на приём с жалобами на эстетический дефект и реакцией на температурные раздражители. Было проведено лечение кариеса и эстетическая реставрация.


Пациент обратился с жалобами на эстетический дефект.
Проведена реставрация.


Пациент обратился с жалобами на боли во время приёма пищи, в том числе реакция на температурные раздражители.
Было проведено лечение кариеса и восстановление формы зуба в данной области.


Пациент проходил санацию полости рта перед установкой ортопедических конструкцией (коронки), лечение кариеса и устранение дефектов пломб.


Пациенту было проведено лечение кариеса в зоне улыбки и выполнена эстетическая реставрация.
Пациентка обратилась с жалобой на выпадение пломбы 36 зуба. Была проведена прямая реставрация
Пациент обратился с жалобой на неудовлетворительный внешний вид пломбы 12 зуба. Была проведена эстетическая реставрация.
Эстетическая реставрация режущего края зубов 11, 21, 22
Эстетическая реставрация 12 зуба
Пациентка обратилось с жалобой на кариес 12 зуба. Была выполнена эстетическая реставрация.


Пациентка 22 года. Обратилась с целью улучшить эстетику и зафиксировать скайсы на зубы 12 и 22. Работы выполнена в одно посещение длительностью 20 минут.


Пациент40 лет, жалобы на боль от термических и химических раздражителелй. Произведено лечение кариеса 14,15 зубов под микроскопом в условиях седации.


Пациентка 18 лет, жалобы на бело пятно на фронтальном зубе. Произведено неинвазивное лечение кариеса в стадии пятна системой ICON (лечение кариеса в начальной стадии без анестезии и сверления).


Пациентка 32 года, после ортодонтического лечения обратилась с жалобой на эстетику 12,13 зубов. Была произведена реставрация 12,13 зубов Estelite Sigma Quick ОА2+А2 в одно посещение.


Пациентка 36 лет с жалобами на стираемость нижних резцов. Выполнена реставрация режущих краев 42-31 зубов.


Реставрация пришеечных дефектов 22, 23 зубов


Пациентка 32 года обратилась со стираемостью нижних резцов. Выполнена реставрация 42-31 зубов. Далее пациентка направлена к ортопеду для изготовления каппы на нижнюю челюсть.
Пациентка обратилась в стоматологию с целью планового приема
В ходе осмотра и КТ-диагностики был выявлен кариес на контактной поверхности
В течении приема был убраны инфицированные твердые ткани. Далее восстановление методом функциональной реставрации светоотверждаемым материалом
Пациентка обратилась в стоматологию с целью планового приема
В ходе осмотра и КТ-диагностики был выявлен кариес на контактной поверхности
В течении приема был убраны инфицированные твердые ткани. Далее восстановление методом функциональной реставрации светоотверждаемым материалом
Пациентка обратилась в стоматологию с целью планового приема
В ходе осмотра и КТ-диагностики был выявлен кариес на контактной поверхности клыка верхней челюсти
В течении приема был убраны инфицированные твердые ткани. Далее восстановление методом функциональной реставрации светоотверждаемым материалом
Пациентка обратилась в стоматологию с целью планового приема
В ходе осмотра и КТ-диагностики был выявлен кариес на контактной поверхности
В течении приема был убраны инфицированные твердые ткани. Далее восстановление методом функциональной реставрации светоотверждаемым материалом
Пациентка обратилась в стоматологию с целью планового приема
В ходе осмотра и КТ-диагностики был выявлен кариес на жевательной поверхности
В течении приема был убраны инфицированные твердые ткани. Далее восстановление методом функциональной реставрации светоотверждаемым материалом
Пациентка обратилась в стоматологию с целью планового приема
В ходе осмотра и КТ-диагностики был выявлен кариес на контактной поверхности
В течении приема был убраны инфицированные твердые ткани. Далее восстановление методом функциональной реставрации светоотверждаемым материалом
Пациентка обратилась в стоматологию с целью планового приема
В ходе осмотра и КТ-диагностики был выявлен кариес на жевательной поверхности
В течении приема был убраны инфицированные твердые ткани. Далее восстановление методом функциональной реставрации светоотверждаемым материалом
Пациентка обратилась в стоматологию с целью предварительного пародонтологического лечения перед ортодонтическим лечением
В ходе осмотра было выявлено воспаление десневых сосочков
Было проведено пародонтологическое лечение, которое включает в себя профессиональную гигиену полости рта, противовоспалительную терапию, а также коррекция гигиены полости рта
Пациенту требовалось проведение плановой профилактической гигиены.
На первом этапе использовали ультразвуковую чистку, которая позволяет убрать наддесневые и поддесневые зубные отложения.
На втором этапе применялся аппарат Air Flow, позволяющий устранить пигментированный и мягкий зубной налёт от кофе, чая и красящих продуктов.
Завершающим этапом было полирование зуба, которое позволяет сократить дальнейшее образование налёта.
Пациенту требовалось проведение плановой профилактической гигиены.
На первом этапе использовали ультразвуковую чистку, которая позволяет убрать наддесневые и поддесневые зубные отложения.
На втором этапе применялся аппарат Air Flow, позволяющий устранить пигментированный и мягкий зубной налёт от кофе, чая и красящих продуктов.
Завершающим этапом было полирование зуба, которое позволяет сократить дальнейшее образование налёта.


Пациенту требовалось проведение плановой профилактической гигиены.
На первом этапе использовали ультразвуковую чистку, которая позволяет убрать наддесневые и поддесневые зубные отложения.
На втором этапе применялся аппарат Air Flow, позволяющий устранить пигментированный и мягкий зубной налёт от кофе, чая и красящих продуктов.
Завершающим этапом было полирование зуба, которое позволяет сократить дальнейшее образование налёта.
Пациентка обратилась в стоматологию с целью планового приема
В ходе осмотра и КТ-диагностики был выявлен вторичный кариес вследствие недостаточного прилегания пломбы
В течении приема был убран старый пломбировочный материал, инфицированные твердые ткани. Далее восстановление методом функциональной реставрации светоотверждаемым материалом
Эстетическая реставрация скола 11 зуба
Выполнена реставрация на 11 зубе с заменой несостоятельных пломб


Пациент обратился с целью профилактического приёма. В ходе которого выяснилось, что имеется потемнение зуба, в области естественных углублений. После тщательного обследования с применением КТ-диагностики, было выяснено, разрушение твердых тканей зуба ниже уровня эмали, затронувшее дентин.
Учитывая ситуацию, было принято решение провести лечение кариеса методом препарирования поврежденных областей и восстановления анатомической формы зуба композитным материалом светового отверждения.
По запросу пациента была проведена реставрация зубов имитирующая клыки вампира


Пациенту было проведено лечение кариеса и восстановление анатомической формы зубов.


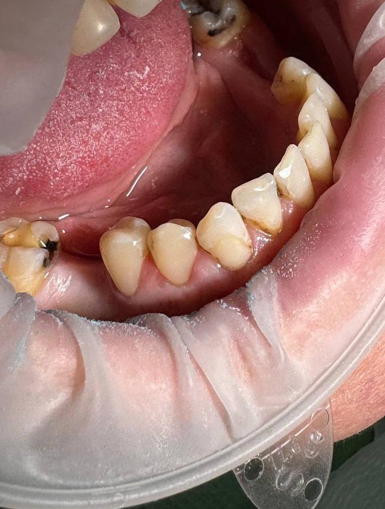
Пациент обратился с жалобами на боли на холодное и сладкое, было проведено лечение кариеса и замена старых пломб с восстановлением анатомической формы зуба.


Пациент обратился с жалобами на эстетический дефект в зоне улыбки.
Была проведена реставрация и замена старой пломбы.