- Главная
- Информация
- Наши работы
НАШИ РАБОТЫ


Пациент пришел с жалобами на неприятный запах изо рта и на темный налёт, который не убирается зубной щеткой.
Для снятия зубных отложений мы провели комплексную профилактическую гигиену с применениям ультразвука, AIR FLOW, щетки с пастой.


Де- и минерализованные зубные отложения пациентки с ортодонтической конструкцией. Комплексная профессиональная гигиена ультразвуковым скейлером и системой AirFlow


Пигментированный зубной налёт "Присли" у пациента 11 лет.
Профессиональная гигиена проводилась при помощи аппарата Air Flow, позволяющего удалить зубной налёт. Завершающим этапом было полирование зубов, которое позволяет сократить дальнейшее образование налёта.


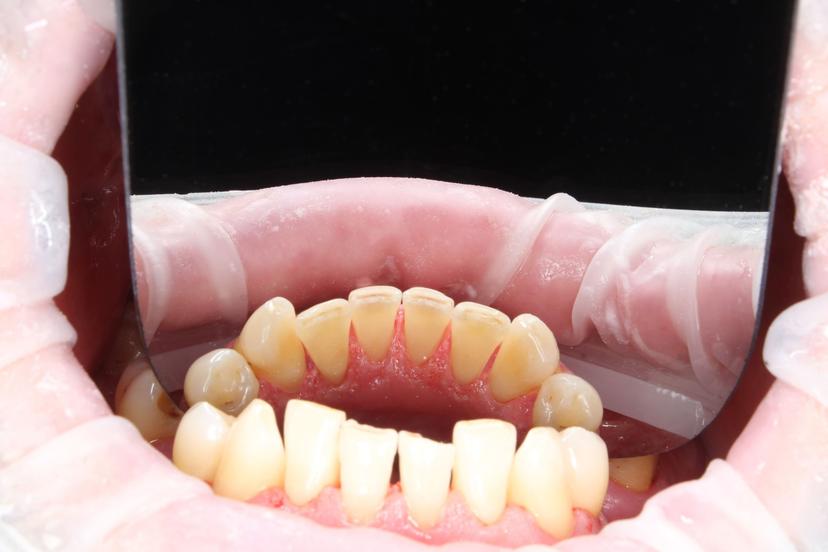
Ортодонтическое лечение очень важно проводить рука об руку с профилактический гигиеной полости рта. Ортодонтические аппараты создают зоны ретенции зубного налета, который проблематично убрать самостоятельно в домашних условиях.


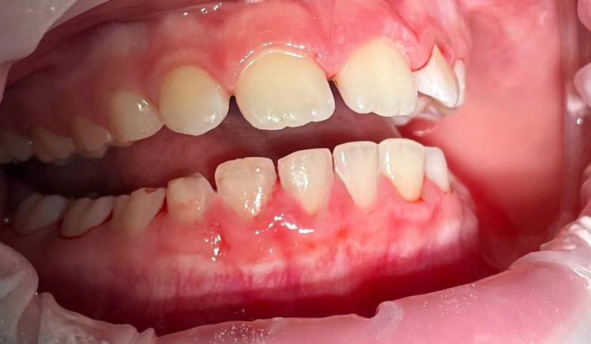
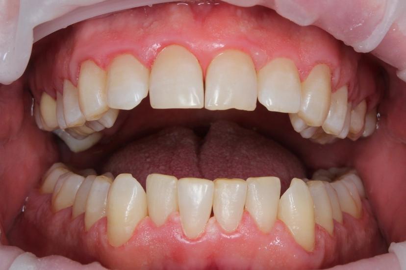
ДО: Заметны налет, пигментация и твердые зубные отложения, что придает неухоженный вид зубам.
После: Поверхность зубов очищена, восстановлен их естественный цвет, отсутствуют твердые зубные отложения и налет. Зубы выглядят здоровыми и ухоженными, а десны - свежими и более розовыми.
Обработка зубов системой AirFlow для снятия пигментированного, мягкого налета всей группы зубов
Обработка всей поверхности зубов системой AirFlow, снятие пигментированного зубного налета

Снятие пигментированного зубного налета системой AirFlow зубов верхней челюсти

Профессиональная гигиена полости рта системой AirFlow для снятия пигментированного налета; ультразвуковым скейлингом для снятия твердого зубного налета (зубной камень)

Снятие пигментированного зубного налета системой AirFlow на нижней челюсти


Профессиональная гигиена полости рта с использованием системы AirFlow для снятия пигментированного налета, а так же ультразвуковым скейлингом для снятия твердых зубных отложений (зубной камень)


Профессиональная гигиена полости с использованием системы AirFlow для снятия пигментированного зубного налета


Снятие твердых зубных отложений (зубной камень), с использованием Ультразвукового скейлинга


Профессиональная гигиена полости рта с использованием системы AirFlow для снятия пигментированного зубного налета


Профессиональная гигиена полости рта с использованием системы AirFlow для снятия пигментированного зубного налета


Профессиональная гигиена полости рта во время ортодонтического лечения, способствует снятию зубного налета, остатков пищи с труднодоступных мест с использованием системы AirFlow


Профессиональная гигиена полости рта во время ортодонтического лечения, способствует снятию зубного налета, остатков пищи с труднодоступных мест с использованием системы AirFlow


Профессиональная гигиена полости рта во время ортодонтического лечения, способствует снятию зубного налета, остатков пищи с труднодоступных мест с использованием системы AirFlow


Снятие твердых зубных отложений (зубного камня) с использованием ультразвукового скейлинга


Профессиональная гигиена полости рта с использованием системы AirFlow для снятия пигментированного зубного налета


Профессиональная гигиена полости с использованием системы AirFlow для снятия пигментированного зубного налета


Профессиональная гигиена полости рта с использованием системы AirFlow для снятия пигментированного зубного налета


Профессиональная гигиены полости рта направлена на профилактику и предотвращение стоматологических заболеваний. Процедура состоит из осмотра, снятие твердых и мягких зубных отложении, полировки.


Процедура профессиональной гигиены полости рта у пациентов с брекет-системами требует особого внимания и аккуратного подхода, так как наличие ортодонтических конструкций может затруднять доступ к некоторым участкам зубов. В этом случае, когда налёт образовался под брекетами и между зубами, важно тщательно удалить все отложения, чтобы предотвратить развитие кариеса и воспаления дёсен.
Чтобы удалить твердый налет (зубной камень), применяется ультразвуковой скалер. Этот инструмент генерирует ультразвуковые волны, которые разрушают твердые отложения без повреждения эмали. Ультразвуковая чистка особенно эффективна при удалении камня из труднодоступных мест, таких как межзубные промежутки и участки вокруг брекетов.
Так же используется система Air Flow – это метод профессиональной чистки зубов, который используется для удаления мягкого налёта, пигментации и поверхностных пятен с поверхности зубов. Процедура основана на использовании струи воздуха, воды и специального абразивного порошка, которая направляется на зубы под высоким давлением.


На прием обратились родителе с ребенком 14 лет с просьбой научить ребенка чистить правильно зубы. В ходе приема был проведен осмотр и обнаружено обильное количество как мягких зубных отложений так и твердых (зубной камень) Далее на все зубы был нанесен индикатор налета, для того чтобы показать и родителям и ребенку наглядно, именно те участки где хуже всего прочищает ребенок. Далее проведена профессиональная гигиена с помощью Air Flow и ультразвукового аппарата. После профессиональной гигиены полости рта были даны рекомендации, как улучшить гигиену в домашних условиях.


Родители обратились в клинику с ребенком подростком 17 лет с просьбой научить ребенка правильному уходу за зубами. В ходе приёма был проведён осмотр и рекомендована диагностика для контроля контактного кариеса жевательной группы зубов, а также была проведена профилактическая гигиена, включающая в себя удаление мягкого зубного налета с помощью аппарата Air Flow, удаление минерализованных зубных отложений с помощью ультразвукового аппарата. После проведения гигиены были даны рекомендации по домашнему уходу.
Наличие дополнительных конструкций в полости рта (в данном случае брекетов )требует более тщательного контроля, т. к. она может в случае не удовлетворительной гигиены полости рта приводить к образование кариозных поражений на поверхности зуба.
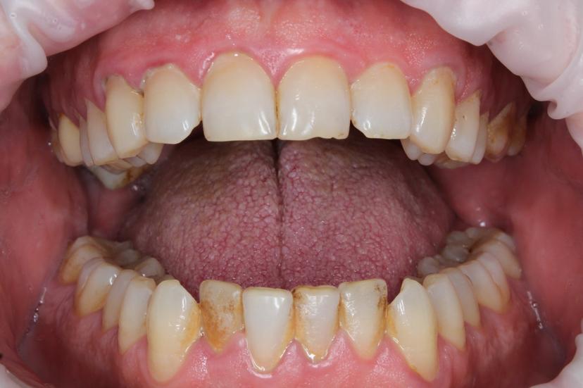
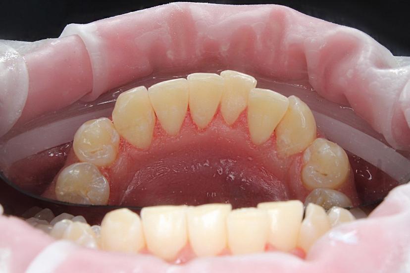
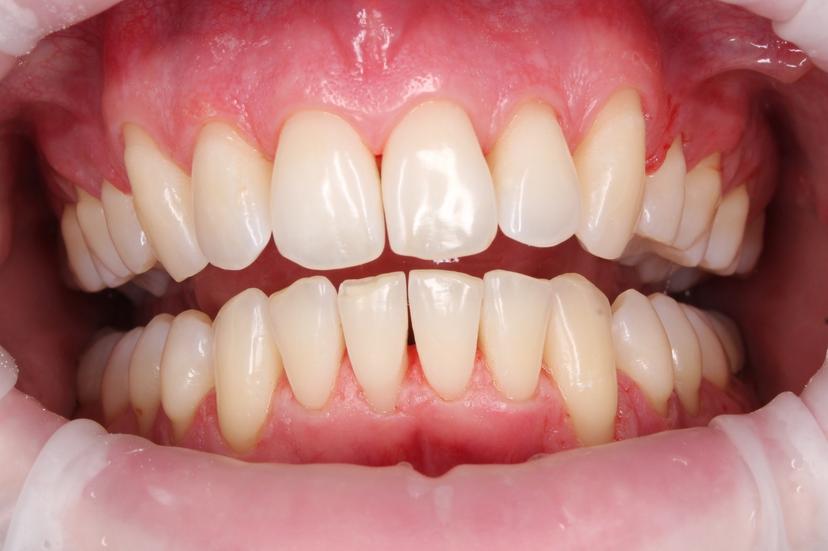
Во время процедуры был удален пигментированный зубной налет и камень, а также проведена полировка зубов.
Во время процедуры удален пигментированный зубной налет и камень, проведена полировка зубов.
Во время процедуры удален пигментированный зубной налет и камень, проведена полировка зубов. После снятия зубных отложений можно оценить состояние зубов: видна старая пломба и кариозная полость.


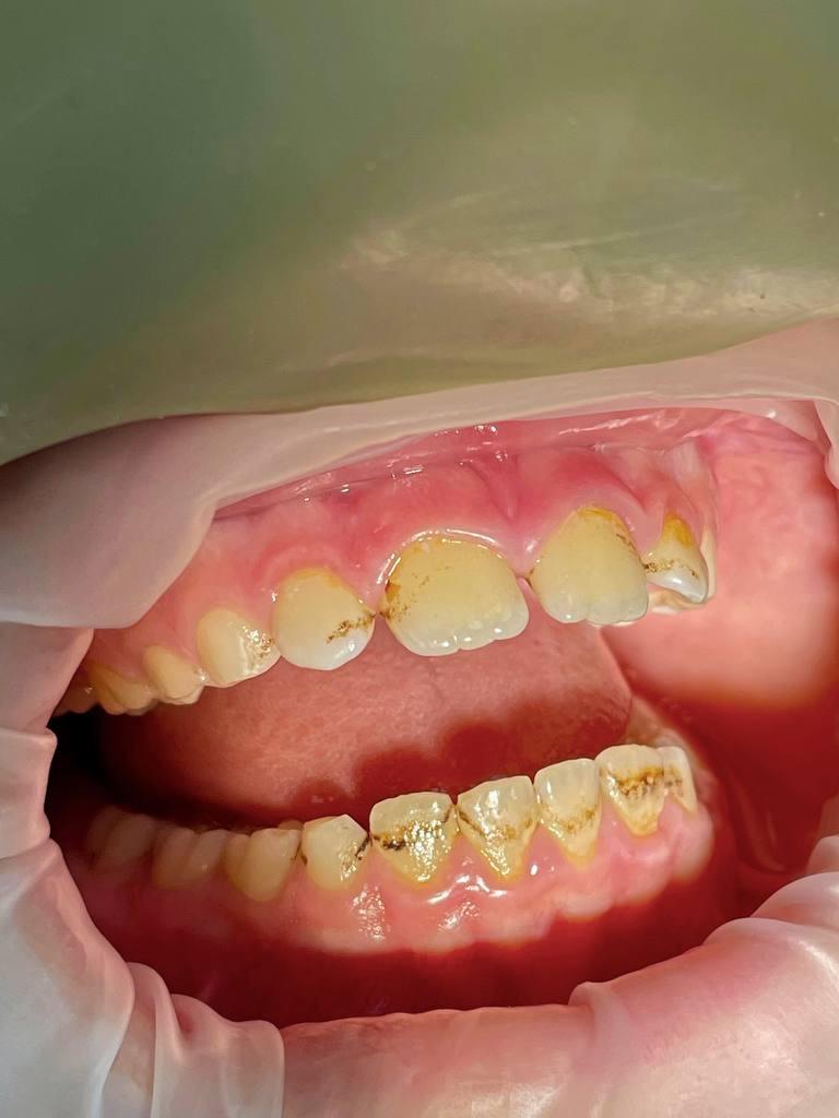
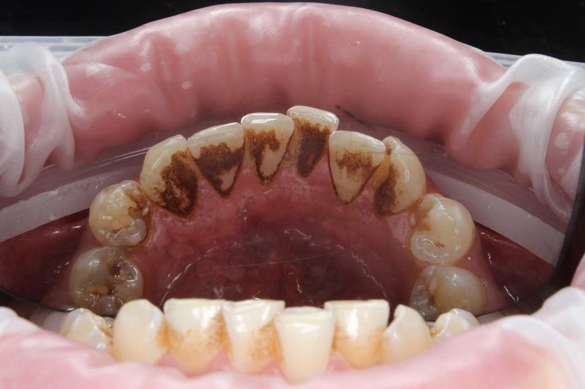
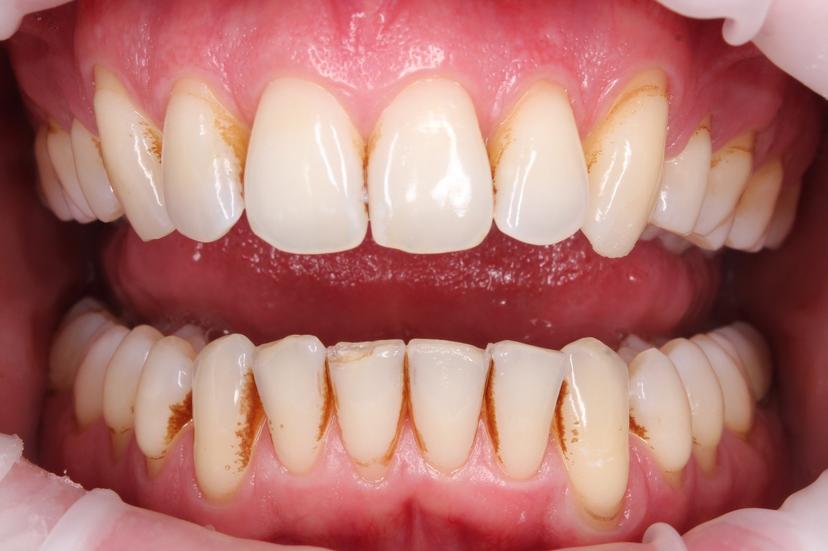
Пациент обратился с жалобами на зубные отложения: пигментированный зубной налет, мягкий зубной налет, наддесневой и поддесневой минерализованный зубной камень.


На прием обратились родителе с ребенком 10 лет с просьбой научить ребенка чистить правильно зубы. В ходе приема был проведен осмотр и обнаружено обильное количество как мягких зубных отложений так и твердых (зубной камень) Далее на все зубы был нанесен индикатор налета, для того чтобы показать и родителям и ребенку наглядно, именно те участки где хуже всего прочищает ребенок. Далее проведена профессиональная гигиена с помощью Air Flow и ультразвукового аппарата. После профессиональной гигиены полости рта были даны рекомендации, как улучшить гигиену в домашних условиях.


Удаление наддесневыз зубных отложений: пигментированный зубной надет, минерализованный зубной камень.


Пациент обратился с жалобами на зубные отложения: пигментированный зубной налет, мягкий зубной налет. Наддесневой и поддесневой минерализованный зубной камень.


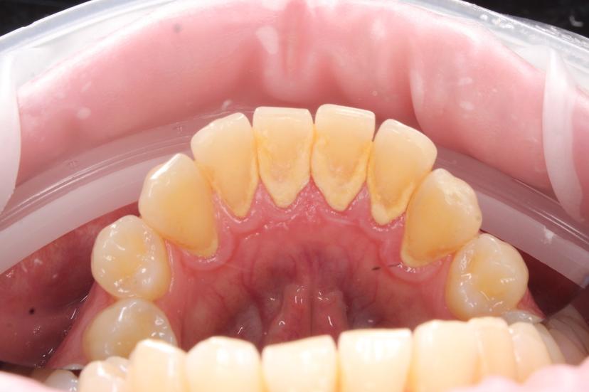
Пациент обратился с жалобами на наросты на зубах: мягкий зубной налет, наддесневой и поддесневой минерализованный зубной камень.


Пациент обратился с жалобами на зубные отложения: пигментированный зубной налет, мягкий зубной налет.