- Главная
- Информация
- Наши работы
НАШИ РАБОТЫ


Пациентке проводилось восстановление зуба в зоне улыбке с помощью керамической коронки на основе диоксида циркония. Восстановление зуба было выполнено за 2 приёма


При полном отсутствии зубов на верхней и нижней челюсти была проведена имплантация все-на-4 и все-на-2 с дальнейшим протезированием

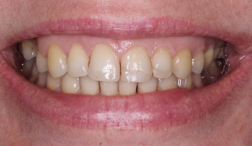
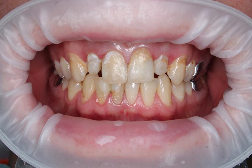
Пациентка обратилась с жалобами на изменение цвета зубов, неудовлетворительную эстетику улыбки, множественные пломбы и сколы. Проведено перелечивание кариеса, коррекция десневого края и восстановление зоны улыбки.

Плановый осмотр к стоматологу и соблюдение рекомендаций помогут сохранить собственные зубы.
Своевременное протезирование (покрытие зубов коронками) поможет вам защитить зубы и продлить им жизнь.
Пациент обратился к нам в клинику со сколом зуба, сохранить который уже не представлялась возможным. Объемная пломба на зубе не выдержала жевательной нагрузки и привела к трещине корня.
Несостоятельный зуб заменили на имплантат, а содружественный зуб покрыли коронкой, чтобы избежать повторного инцидента.
- срок лечения пациента занял 6 месяцев;
- во время интеграции ( приживления) имплантата, соседний зуб был защищен временной коронкой, которая выдерживала все жевательные нагрузки;
- работа нашей зуботехнической лабораторий позволила сделать коронки незаметными и функциональными.


Пациентка обратилась с жалобами на эстетику передних зубов, от ортодонтического лечения отказалась. Было проведено протезирование: замена старой металлокерамической коронки, восстановление фронтальных зубов одиночными циркониевыми коронками.


Восстановление жевательной функции и эстетики с помощью протезирования коронками


Преображение улыбки при помощи коронок и виниров. Восстановление высоты прикуса и изменение десневого контура зубов!


Пациентка обратилась с целью: изменить цвет и форму передних верхних зубов. После проведенных диагностических мероприятий - остановились на керамических винирах e.max. Работа ОТ и ДО выполненена за полторы недели. Виниры установлены на живые зубы с минимальным обтачивание зубов.
Пациент обратился с целью продолжения ортопедического лечения после имплантации и эстетического протезирования зубов в 1-ом секторе (левый верхний сектор на изображении).
Было изготовлено 2 коронки на зубы в зоне улыбки из диоксида циркония с керамическим нанесением, 1 коронка на имплантате из диоксида циркония с керамическим нанесением в зоне улыбки. А так же 2 коронки (1 на имплантате и 1 на зубе) из цельного диоксида циркония в области жевательных зубов, с целью предотвращения сколов конструкции.
Срок проведения работы с учётом хирургических показаний, подготовкой зубов к протезированию занял 1,5 месяца.
Пациент обратился с жалобами на отсутствующий зуб 2.1 (левый центральный резец), а так же наличие старых ортопедических конструкций на соседних зубах.
После этапа диагностики, был выбран план протезирования дефекта улыбки мостовидным протезом. В первый приём старые коронки были сняты, зубы дополнительно обработаны и изготовлена временная мостовидная конструкция из пластмассы (после первого посещения дефект улыбки уже был устранён). Далее сняты оптические оттиски, переданы в цифровую лабораторию сети клиник "Улыбка". По итогу, работа была выполнена из диоксида циркония с керамическим нанесением, затраченное время - 1,5 недели.
Пациент обратился с жалобами на эстетический дефект зуба 4.1 (правый центральный резец нижней челюсти).
Была выбрана тактика протезирования зуба виниром, под местной анестезией зуб был отпрепарирован с минимальной инвазией и покрыт временной конструкцией на период изготовления постоянной (керамического винира).
Вся работа заняла 1,5 недели.
Пациент обратился с жалобами на неэстетичный вид старых конструкций и отсутствие жевательных зубов.
Старые конструкции были сняты и заменены на диоксид-циркониевые с керамическим нанесением. Жевательные отделы были восполнены бюгельным протезом на нижней челюсти и частичным съёмным пластинчатым протезом на верхней.
Срок выполнения работы - 3 недели.
Пациент обратился с целью протезирования на дентальных имплантатах и зубах 1.3 и 4.5 в сжатые сроки.
Было выполнено протезирование на имплантатах и зубах 1-го и 4-го секторов за 1 неделю.
Пациент был направлен стоматологом-терапевтом для дальнейшего ортопедического лечения.
В связи с объёмными пломбами на зубах 1.2; 1.1; 2.1; 2.2 были выбраны диоксид-циркониевые коронки с керамическим нанесением.
Срок выполнения 2 недели.


Пациентка обратилась с жалобой на полное отсутствие зубов и невозможность пережевывать пищу! Было решено устанавливать по четыре имплантата на каждую челюсть и протезировать в концепции "все на 4" на верхней и нижней челюстях. Результат работы на фото.


У пациентки выпал мостовидный протез, который она ставила еще лет 15 назад в другой клинике. К сожалению, из-за того, что свои зубы, на которых стояла конструкция - были сильно изношены, повторное протезирование на эти зубы было противопоказано! Было решено установить импланты. После приживления - установлены: циркониевая коронка и циркониевый мост на имплантах.


Пациентка обратилась с жалобами на эстетику (щели, цвет, форма). Было решено провести тотальное протезирование на верхней и нижней челюстях - керамическими винирами и коронками. Работа заняла - 1 месяц от начала и до конца.


Пациентка с другого города. Обратилась на консультацию по восстановлению красивой улыбки. В кратчайшие сроки подготовили зубы и запротезировали их коронками из диоксида циркония. Пациентка счастлива.


Пациентка обратилась с жалобой на косметический дефект. Так как передний зуб давно отсутствует, а соседний сильно разрушен, пациентка разучилась улыбаться. В связи с тем, что по финансовой части пациентка была ограничена, было решено восстановить отсутствующий и разрушенный зубы - мостовидным металлокерамическим мостом. Перед этим опорные зубы были подготовлены. Работа по восстановлению улыбки заняла полторы недели.


Пациентка обратилась с жалобами на подвижность и разрушенность зубов на верхней челюсти. Было решено провести удаление оставшихся зубов на верхней челюсти и установку 6 имплантов. Результат работы - через 6 месяцев.
Пациентка обратилась в клинику с трещиной в зубе, полученной в результате травмы. На первом приёме была согласована этапность проведения работ: диагностика, удаление зуба, имплантация, протезирование временной коронкой, пластика десны, протезирование постоянной коронкой.
Доктор хирург-имплантолог Габибзаде Элмаддин Арзуевич аккуратно удалил зуб, сохраняя максимальное количество тканей. После восстановления костной ткани была проведена имплантация с немедленной нагрузкой имплантата временной коронкой в день приема. Был выполнен запрос пациентки «зубы за один день». В течение 6 месяцев пациентка выполняла рекомендации и приходила на осмотр, что позволило добиться прекрасного эстетического результата. Через 6 месяцев на имплантат поставили постоянную коронку из безметалловой керамики, изготовленную в собственной зуботехнической лаборатории клиники в кратчайшие сроки.
Работы были выполнены оперативно и желаемый результат пациентка получила через 7 месяцев
Обратившись к нам в клинику в декабре 2022 года пациентка преследовала цель красивой улыбки. После консультации появилась еще цель и правильного прикуса. В командной работе были несколько специалистов: терапевт, ортодонт и ортопед
На первом приёме была согласована этапность проведения работ: диагностика, временные реставрации у терапевта, ортодонтическое лечение, восстановление зубов винирами.
Путь лечения начался с временных реставраций на фронтальной (передней) группе зубов.
Далее ортодонтическое лечение, которое завершилось в апреле 2024 года и длилось 1 год и 6 месяцев.
Функцию восстановили, переходим к эстетике.
Восстановили резцы винирами, изготовленными в собственной зуботехнической лаборатории клиники в кратчайшие сроки. Подобрали цвет и форму, соответствующую всему зубному ряду.
Благодаря комплексному подходу пациентка обрела не только красивую, но и здоровую улыбку
Сложность данной работы заключается в том, что пациент проживал в другом городе.
Сроки лечения были ограничены и всегда были четкие даты отъезда пациента.
На первом приеме была согласована этапность работа: диагностика, установка дентальных имплантатов на верхней и нижней челюстях в области жевательных зубов - пластика мягких тканей- протезирование имплантатов и зубов временными коронками - работа с височно-нижнечелюстным суставом - протезирование зубов коронками из материала диоксида циркония.
Планирование работы началось с фундаментальной диагностики костной ткани, мягких тканей, прикуса и височно-нижнечелюстного сустава.
Так как по срокам выполнения работы мы были ограничены, выполнялись манипуляции в максимальных объемах. Командная работа докторов и пациента позволяет добиться желаемого результата в кратчайшие сроки и с наилучшим результатом, поэтому отдельное спасибо выражаем пациенту за боевой дух и за соблюдения рекомендаций.
Протезирование во фронтальном отделе всегда непростое, так имеется большой дефицит мягких тканей десны, что затрудняет создание "незаметного" восстановления.
Командная работа с хирургом-имплантологом Габибзаде Элмаддином Арзуевичем и зуботехнической лабораторией позволила восстановить зубной ряд эстетично и функционально