Ежедневно с 9.00 до 20.00
ул. Масленникова, 41
ул. Красный путь, 101
ул. Конева, 22/2
Улыбка, сеть клиник
Заказать звонок

Калайтан Ксения Дмитриевна

Ксения
Стоматолог-гигиенист
Стаж: 1 год
4.8 рейтинг на ProDoctorov
Работает в филиалах:
ул. Красный путь, 101
ЗАПИСАТЬСЯ К ВРАЧУ

Дополнительное образование

Тренинг iTOP
  • Тренинг iTOP - 2025 год
ПРИМЕРЫ РАБОТ
Профессиональная гигиена верхней фронтальной группы зубов фото доПрофессиональная гигиена верхней фронтальной группы зубов фото после
Посмотреть фото «до»
Профессиональная гигиена верхней фронтальной группы зубов

Во время процедуры удален пигментированный зубной налет и камень, проведена полировка зубов. После снятия зубных отложений можно оценить состояние зубов: видна старая пломба и кариозная полость.

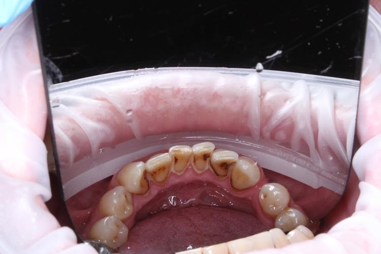
Профессиональная гигиена нижней фронтальной группы зубов фото доПрофессиональная гигиена нижней фронтальной группы зубов фото после
Посмотреть фото «до»
Профессиональная гигиена нижней фронтальной группы зубов

Во время процедуры удален пигментированный зубной налет и камень, проведена полировка зубов.

Профессиональная гигиена нижней фронтальной группы зубов фото доПрофессиональная гигиена нижней фронтальной группы зубов фото после
Посмотреть фото «до»
Профессиональная гигиена нижней фронтальной группы зубов

Во время процедуры был удален пигментированный зубной налет и камень, а также проведена полировка зубов.