- Главная
- Наши специалисты
- Потеснова Кристина Олеговна
Потеснова Кристина Олеговна

Детский стоматолог
Специалист в области диагностики и лечения кариеса, его осложнений молочных зубов у детей, удаления молочных зубов и профессиональной гигиены полости рта у детей.
Успешно проводит лечение в условиях седации.
Успешно проводит лечение в условиях седации.
Стаж: 5 лет
4.9 рейтинг на ProDoctorov
Работает в филиалах:
ул. Красный путь, 101
Образование
Высшее образование
Диплом Омского государственного медицинского университета. Врач-стоматолог (2021)
Дополнительное образование
- Тренинг "iTOP тренинг стоматологической профилактики" - 2025 год
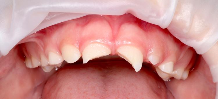
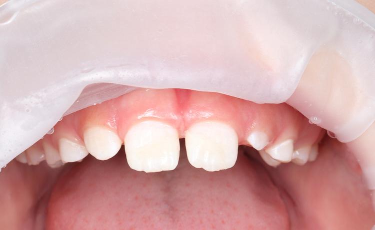
ПРИМЕРЫ РАБОТ


















